Theo bác sĩ nha khoa Đăng Lưu, việc đánh răng đơn thuần hàng ngày không thể giúp bạn loại bỏ một cách hết những mảnh vụn thức ăn còn sót lại sau khi ăn xong. Chúng vẫn có cơ hội hình thành mảng bám, vôi răng nếu bạn không làm sạch răng miệng kịp thời. Cạo vôi răng định kỳ là thói quen cần thiết cho tất cả mọi người. Cạo vôi răng có đau không, niềng răng cho trẻ em bao nhiêu tiền là một trong những lo lắng phổ biến của rất nhiều người.
Cạo vôi răng là một trong những dịch vụ nha khoa được áp dụng phổ biến nhất hiện nay bởi kết quả đem lại không chỉ tốt về mặt thẩm mỹ mà còn cả về mặt sức khỏe. Trước khi giúp cháu biết được cạo vôi răng có đau không, chúng tôi sẽ cung cấp thêm cho cháu một số thông tin về định nghĩa vôi răng cũng như những tác hại mà vôi răng gây ra cho sức khỏe răng miệng. Vôi răng hay cao răng, là các mảng bám có màu vàng ngà bám chặt vào thân răng và các kẽ răng. Đa số chúng ta, dù có chăm sóc kỹ lưỡng đến mấy thì sau một thời gian răng đều cũng xuất hiện cao răng. Đó là vì trong quá trình vận chuyển và nhai nghiền thức ăn, xác vi khuẩn, vụn thức ăn thừa, các thành phần độc hại lưu lại và bị vôi hóa.
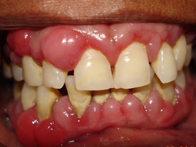
Vậy tại sao chúng ta nên cạo vôi răng? Vôi răng gây ra rất nhiều tác hại, để tình trạng xảy ra càng lâu thì mức độ nguy hiểm càng cao. Trước hết, vôi răng gây mất thẩm mỹ vì có màu vàng ngà và bám phần lớn thân răng (chủ yếu nhóm răng cửa). Sau đó, mảng bám quá dày sẽ xâm lấn nướu gây chảy máu, viêm lợi, tụt nướu, tiêu ổ xương hàm, nặng nhất là gây lở loét và khiến răng gãy rụng vĩnh viễn.
Cạo vôi răng có đau không?
Với những tác hại kể trên, chắc chắn chúng ta đã biết việc cạo vôi răng là có cần thiết hay không. Khác với trước đây bác sĩ nha khoa thường sử dụng phương pháp thủ công để loại bỏ các mảng bám – phương pháp này sẽ gây đau và chảy máu nhiều, nha khoa hiện đại sẽ áp dụng giải pháp sử dụng sóng siêu âm để khắc phục tình trạng vôi răng. Vậy Laser Whitening cạo vôi răng có đau không?
Chúng tôi xin khẳng định, kỹ thuật Laser Whitening đã được kiểm nghiệm kỹ lưỡng bởi các chuyên gia và hầu hết khách hàng áp dụng dịch vụ đã để lại những phản hồi tích cực. Với sóng siêu âm, quá trình cạo vôi không chỉ tiết kiệm được thời gian mà còn giảm đau đến mức tối thiểu cho khách hàng, đồng thời ngăn không cho máu chảy giúp khách hàng cảm thấy thoải mái hơn.
(Mỗi bệnh nhân sẽ có kết quả khác nhau, tùy thuộc vào cơ địa và tình trạng của mỗi người)
Trên đây là toàn bộ phần giải đáp của chúng tôi cho thắc mắc cạo vôi răng có đau không. Bên cạnh đó, chúng tôi khuyên cháu nên sớm tiến hành cạo vôi răng để ngăn chặn các mềm bệnh nguy hiểm cũng như giúp răng sáng bóng trở lại. Cháu có thể liên hệ với trung tâm nha khoa Đăng Lưu và trực tiếp thăm khám với bác sĩ chuyên môn của chúng tôi.
![]() |
| Cạo vôi răng có đau không? |
Vì sao nên cạo vôi răng?
Cạo vôi răng là một trong những dịch vụ nha khoa được áp dụng phổ biến nhất hiện nay bởi kết quả đem lại không chỉ tốt về mặt thẩm mỹ mà còn cả về mặt sức khỏe. Trước khi giúp cháu biết được cạo vôi răng có đau không, chúng tôi sẽ cung cấp thêm cho cháu một số thông tin về định nghĩa vôi răng cũng như những tác hại mà vôi răng gây ra cho sức khỏe răng miệng. Vôi răng hay cao răng, là các mảng bám có màu vàng ngà bám chặt vào thân răng và các kẽ răng. Đa số chúng ta, dù có chăm sóc kỹ lưỡng đến mấy thì sau một thời gian răng đều cũng xuất hiện cao răng. Đó là vì trong quá trình vận chuyển và nhai nghiền thức ăn, xác vi khuẩn, vụn thức ăn thừa, các thành phần độc hại lưu lại và bị vôi hóa.
Vậy tại sao chúng ta nên cạo vôi răng? Vôi răng gây ra rất nhiều tác hại, để tình trạng xảy ra càng lâu thì mức độ nguy hiểm càng cao. Trước hết, vôi răng gây mất thẩm mỹ vì có màu vàng ngà và bám phần lớn thân răng (chủ yếu nhóm răng cửa). Sau đó, mảng bám quá dày sẽ xâm lấn nướu gây chảy máu, viêm lợi, tụt nướu, tiêu ổ xương hàm, nặng nhất là gây lở loét và khiến răng gãy rụng vĩnh viễn.
Cạo vôi răng có đau không?
Với những tác hại kể trên, chắc chắn chúng ta đã biết việc cạo vôi răng là có cần thiết hay không. Khác với trước đây bác sĩ nha khoa thường sử dụng phương pháp thủ công để loại bỏ các mảng bám – phương pháp này sẽ gây đau và chảy máu nhiều, nha khoa hiện đại sẽ áp dụng giải pháp sử dụng sóng siêu âm để khắc phục tình trạng vôi răng. Vậy Laser Whitening cạo vôi răng có đau không?
Chúng tôi xin khẳng định, kỹ thuật Laser Whitening đã được kiểm nghiệm kỹ lưỡng bởi các chuyên gia và hầu hết khách hàng áp dụng dịch vụ đã để lại những phản hồi tích cực. Với sóng siêu âm, quá trình cạo vôi không chỉ tiết kiệm được thời gian mà còn giảm đau đến mức tối thiểu cho khách hàng, đồng thời ngăn không cho máu chảy giúp khách hàng cảm thấy thoải mái hơn.
(Mỗi bệnh nhân sẽ có kết quả khác nhau, tùy thuộc vào cơ địa và tình trạng của mỗi người)
Trên đây là toàn bộ phần giải đáp của chúng tôi cho thắc mắc cạo vôi răng có đau không. Bên cạnh đó, chúng tôi khuyên cháu nên sớm tiến hành cạo vôi răng để ngăn chặn các mềm bệnh nguy hiểm cũng như giúp răng sáng bóng trở lại. Cháu có thể liên hệ với trung tâm nha khoa Đăng Lưu và trực tiếp thăm khám với bác sĩ chuyên môn của chúng tôi.
Bài viết được trích nguồn tại: http://implantdangluu.com
Thông tin liên hệ:
Trung tâm nha khoa Đăng Lưu
Cơ sở 1: 34 Phan Đăng Lưu, P.6, Q.BìnhThạnh - (+84 8) 6297 7148
Cơ sở 2 : 540 Trần Hưng Đạo, P.2, Q.5 - (+84 8) 6682 0246
Hotline: 08 3803 0578
TG: VT
